*** OFFRE SPECIALE TURBINE KAVO 650L 699€ TTC  

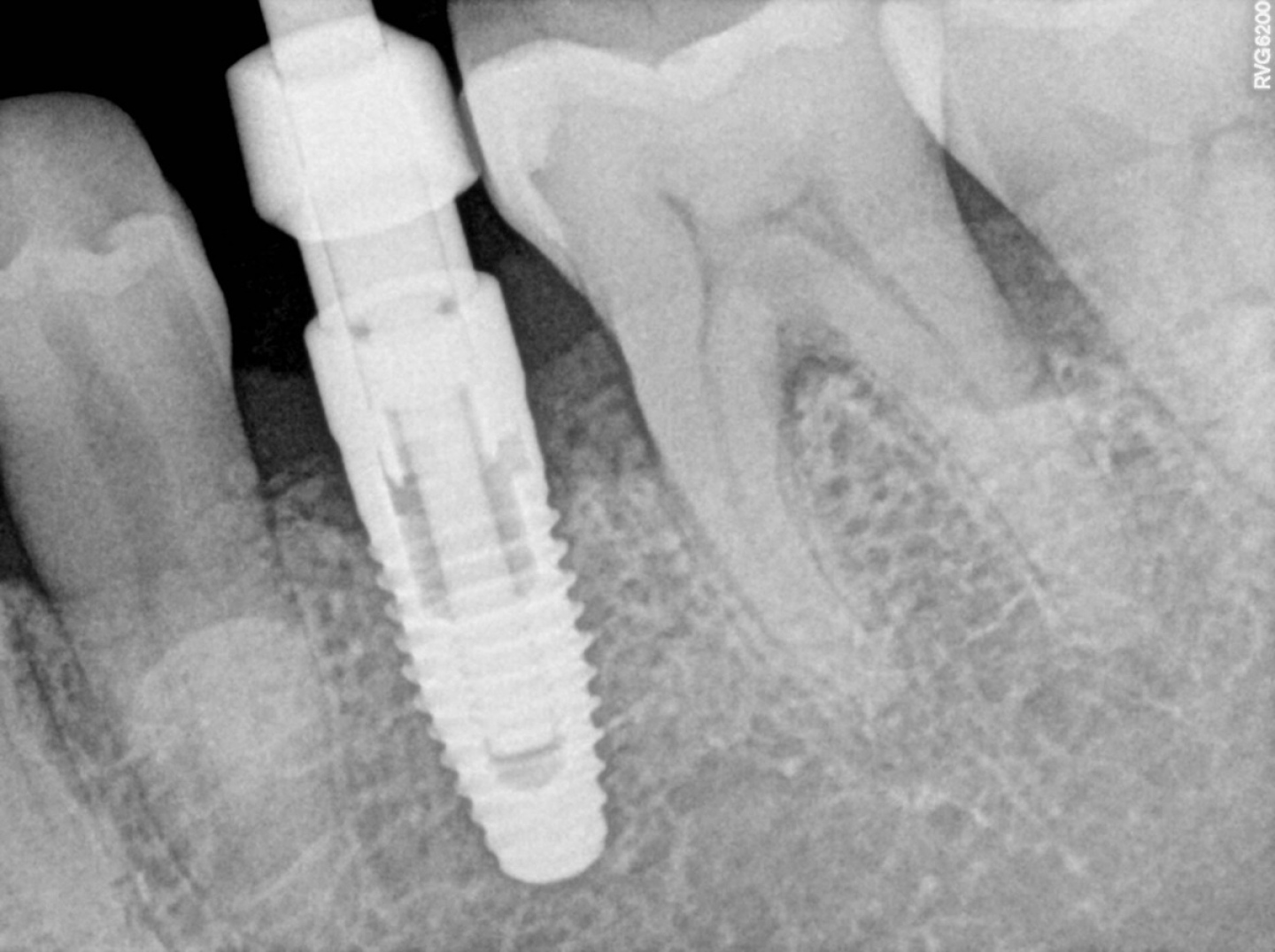
RVG 6200

Radiologie

Description

Voici le RVG 6200, le capteur intrabuccal numérique qui s'adapte à vous. D’une procédure de travail simplifiée à des outils de traitement d'image définis par l'utilisateur, le RVG 6200 est conçu pour fonctionner pour vous (et non l'inverse). De plus, grâce à son processus d'installation simple et à son intégration avec la plupart des logiciels d'imagerie et des logiciels de gestion de cabinet, le RVG 6200 s'intègre facilement dans n'importe quel cabinet.

Outil de personnalisation des images

Les praticiens peuvent optimiser le contraste de leurs images selon leurs besoins ou leurs préférences avec le module CS Adapt - le nouvel outil qui permet aux praticiens d'établir leur propres paramètres par défaut pour personnaliser leur traitement d'images. Les utilisateurs peuvent choisir parmi 40 filtres pré-établis ou définir leurs paramètres favoris, afin d'obtenir une personnalisation qui leur convient parfaitement pour lire les images de chaque patient et établir le diagnostic.

La qualité d’image telle que vous l’entendez

Avec ses outils de traitement d’images personnalisables, le capteur RVG 6200 vous permet d’obtenir les images qui correspondent à vos critères personnels pour un diagnostic optimal.

Trois modes anatomiques peuvent être appliqués aux images (endodontique, parodontique et jonction dentine-émail) et un filtre de netteté avec un curseur dynamique intuitif permet de visualiser en temps réel les changements de contraste. En utilisant une netteté allant de 0 à 6, vous pouvez choisir le contraste de l'image que vous préférez.

Mise en place du capteur simple et confortable

La fixation du câble à l’arrière du capteur RVG 6200 offre une ergonomie optimisée, réduisant l’encombrement au point de connexion du câble. La mise en place et le positionnement du capteur s’en trouvent facilités, ce qui contribue à une meilleure acquisition d’images. Le nouveau design du câble renforcé est 20 % plus fin que les capteurs RVG précédents, contribuant à une meilleure mise en place du capteur dans la bouche du patient. Le capteur RVG 6200 inclut un ensemble de dispositifs de positionnement RVG 6200, si bien qu’il peut être immédiatement utilisé dès son installation dans le cabinet.

Pour votre sérénité

Les capteurs RVG 6200 sont testés pour vous garantir une étanchéité à l'eau de longue durée et vous permettre de les aseptiser par immersion complète. Ils sont également équipés d'un boîtier résilient qui les protège contre les morsures, les chocs et les chutes.

Testé également pour une durabilité maximale, le câble doit subir des dizaines de milliers de manipulations (l'équivalent de dix années d'utilisation intense), et les points de connexion sont renforcés pour résister aux efforts et aux torsions.




Flèche de défilement de l'écran