*** OFFRE SPECIALE TURBINE KAVO 650L 699€ TTC  

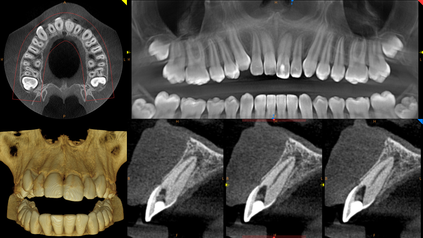
Carestream CS 8100 3D Édition Evo

Radiologie

Description

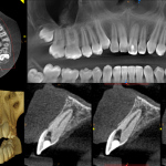
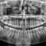
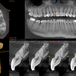
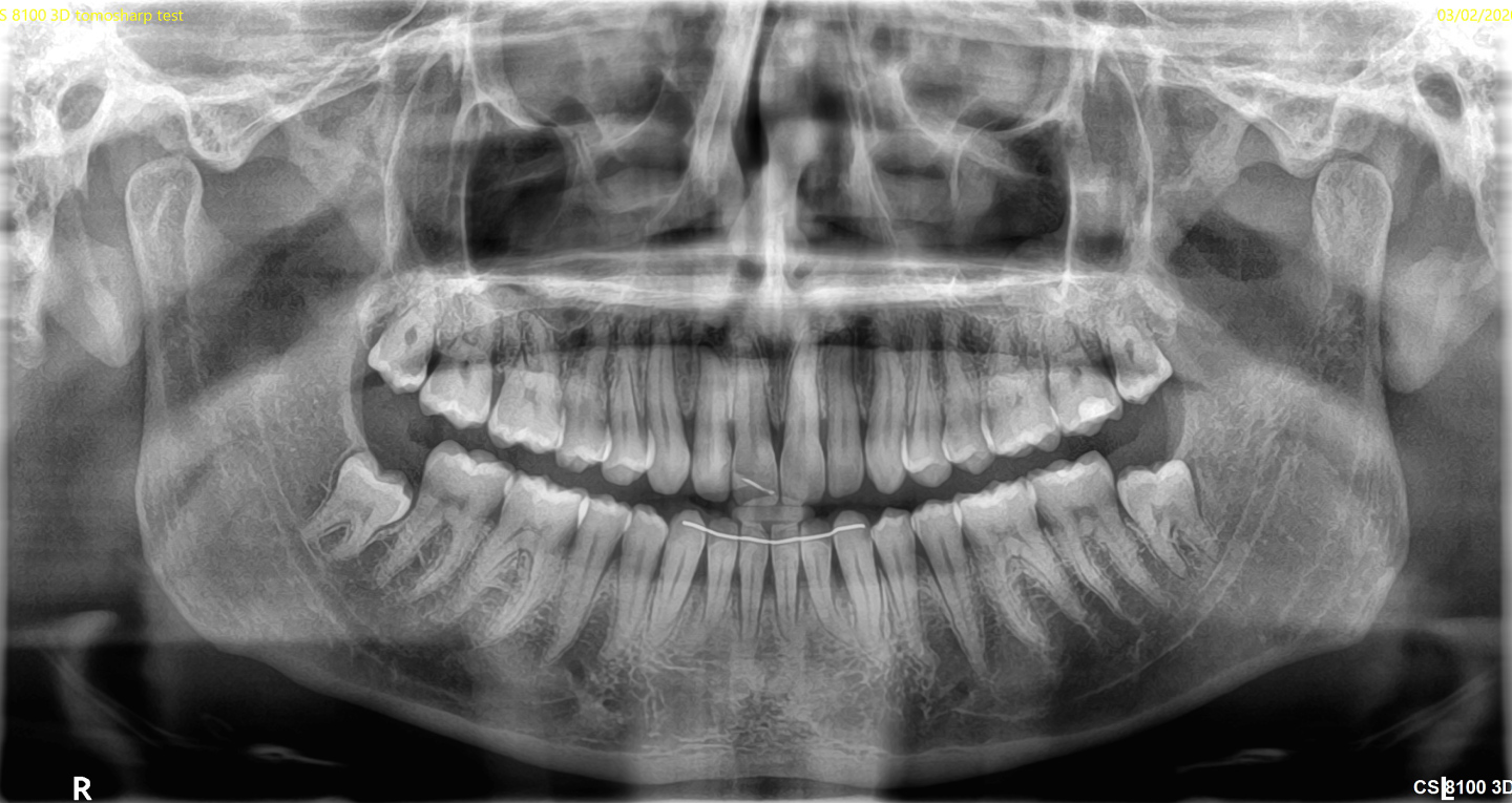
Grâce à sa facilité d’utilisation légendaire et à ses dernières améliorations, l’édition Evo du système CS 8100 3D offre une précision d’image exceptionnelle avec toutes les modalités. Cette solution simple 4-en-1 offre un excellent rapport qualité-prix sans compromis sur la qualité. Elle convient parfaitement pour les omnipraticiens et les endodontistes qui souhaitent profiter de l’imagerie CBCT en cabinet.

Aperçu des avantages

  1. Système 2D/3D polyvalent correspondant à vos besoins et à votre budget
  2. Des images 3D haute résolution avec peu d’artefacts et de bruit
  3. Des images panoramiques précises et nettes, idéales pour les besoins de routine
  4. Design primé adapté aux espaces restreints
  5. Le logiciel 2D/3D de pointe accélère l’analyse des images
  6. Adopté par des milliers d’omnipraticiens et d’endodontistes dans le monde



Flèche de défilement de l'écran